Zahnheilkunde – Leistungen und Kompetenz
Moderne Zahnheilkunde.
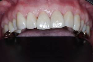
Für ein strahlendes Lachen.
Zahnheilkunde – umfangreiche Leistungen für Sie
Zahnheilkunde umfasst sehr viele Bereiche, die Ihnen ein strahlendes Lächeln, somit Lebensfreude verleihen. Von Schönheit zur Gesundheit, beginnend bei der Prophylaxe über eine professionelle Zahnreinigung bis hin zum Zahnersatz, Implantaten oder dem Entfernen von Amalgam Füllungen. Ob große oder kleinere Behandlung, wir möchten Sie als geschätzten Patienten in möglichst alle Entscheidungen miteinbeziehen. Sie sind also mit allen Ihren Fragen und Wünschen bestens bei uns aufgehoben.
Für Ihre schönen Zähne stets individuelle Leistungen
Übrigens informieren wir auch ausführlich über Zahnhygiene, führen auf Wunsch professionelle Zahnreinigungen durch bis hin zu hochwertigen, äußerst langlebigen Implantaten. Viele der Leistungen, die Sie bei uns erhalten, haben wir nachfolgend noch genauer aufgeführt. Wir setzen uns für unsere Patienten – für Sie – immer vertrauensvoll und verantwortlich ein. Darf es ein Mehr an Leistung sein? Sprechen Sie uns sehr gerne drauf an.
Ihr persönlicher Erinnerungs-Service zur Vorsorge
Regelmäßige Vorsorge und Kontrolle sichern die langfristige Funktionsfähigkeit Ihrer Zähne und Sie behalten Ihr strahlendes Lachen bei. Denn Ihre Zähne sind nicht nur simple Kauwerkzeuge. Damit das nicht in Vergessenheit gerät, erinnern wir Sie regelmäßig an Ihre persönlichen Kontrolltermine – entweder per Postkarte oder telefonisch. Sie können uns zu diesem Service gerne anfragen: Kontakt













